Login
Section Articles

The Protection Evaluation by The Grape-Seed-Loaded PVA/Chitosan Nanofiber Scaffolds on UV-Induced Skin Damage in Rabbits

Evaluasi Perlindungan oleh Kerangka Nanofiber PVA/Kitosan yang Diperkaya Biji Anggur terhadap Kerusakan Kulit Akibat Sinar UV pada Kelinci
Vol. 3 No. 1 (2026): July:

Dina H. Sadiq (1), Majdy Faisal Majeed (2), Thaar R. Mhalhal (3), Prof. Dr. Ali Qassim Abdullah (4)

(1) Anatomy and Histology Department, College of Veterinary Medicine, University of Basrah, Basrah, Iraq
(2) Prof. Dr. of Histology, College of Veterinary Medicine, University of Basrah, Basrah, Iraq
(3) Assist. Prof. Dr. Anatomy and Histology Department, College of Veterinary Medicine, University of Basrah, Basrah, Iraq
(4) Physics Department, College of Science, University of Basrah, Basrah, Iraq

Abstract:

General Background: Ultraviolet radiation is a major environmental factor causing oxidative stress, cellular damage, and structural deterioration in skin tissue. Specific Background: Recent advances in nanofiber technology have enabled the development of biomimetic scaffolds capable of delivering bioactive compounds for tissue repair and regeneration. Knowledge Gap: Limited experimental evidence exists on the combined use of PVA/chitosan nanofibers loaded with grape seed extract for restoring UV-damaged skin structure and antioxidant balance. Aims: This study aimed to evaluate the protective and therapeutic performance of grape-seed-loaded PVA/chitosan nanofiber scaffolds in a rabbit model exposed to chronic ultraviolet radiation. Results: The fabricated nanofibers demonstrated strong molecular interactions and uniform morphology, while biological evaluation showed that UV exposure induced severe oxidative, morphological, and histological damage. Treatment with the nanofiber scaffold for seven days led to restoration of skin architecture, reduction of inflammation and fibrosis, and significant improvement in antioxidant activity as confirmed by ABTS and DPPH assays. Novelty: This study demonstrates the successful integration of grape seed extract into nanofiber scaffolds with preserved structural integrity and functional bioactivity. Implications: The findings support the application of nanofiber-based systems as promising therapeutic platforms for skin regeneration and protection against ultraviolet-induced damage.


Keywords
Nanofiber Scaffold, Ultraviolet Radiation, Skin Damage, Grape Seed Extract, Antioxidant Activity


Key Findings Highlights



  1. Uniform nanoscale fibers with stable molecular interactions achieved

  2. Severe tissue disruption observed after prolonged radiation exposure

  3. Short-term treatment restored structural organization and antioxidant balance

Introduction

Ultraviolet (UV) radiation is the most important environmental factor in skin tissue damage, aging, and the development of pathological lesions in both the pre- and post-cancer stages. Prolonged exposure to ultraviolet radiation from sunlight leads to excessive production of reactive oxygen species (ROS), resulting in cellular oxidative stress, DNA damage, oxidation of cell membrane lipids, protein degradation, as well as disruptions in the homeostasis of both the epidermal and dermal layers [1]. Histologically, these changes manifest as hyperkeratosis, parakeratosis, dysplasia of the epidermis, degradation of the collagen layer, and chronic infiltration of inflammatory cells, ultimately leading to structural and functional impairment of the skin barrier, as confirmed by numerous studies related to this biological aspect [2-4. Despite the skin tissue having antioxidant defense mechanisms, prolonged exposure to ultraviolet rays can cause significant stress to its biological systems, leading to oxidative damage accompanied by a weakened tissue regeneration mechanism [5, 6]. In recent years, many researchers have focused on the use of nanofiber-based dressings due to their structural engineering, characterized by a highly interconnected porous level, as well as their ability to mimic the extracellular matrix [7]. Generally, the nanofibers obtained through electrospinning technology have provided an effective database for the organized and rapid distribution and delivery of drug therapies, in addition to enhancing the ability of cells to heal and regenerate, and this has made them a modern and effective scientific mechanism for repairing and regenerating tissues, including skin tissue [8, 9]. Loading and biointegration of natural plant compounds with polymer nanofiber systems is a form of modern strategy used to enhance the efficacy of certain therapeutic pharmaceutical compounds [10, 11]. On this basis, nano grape seed extract is considered one of those natural compounds rich in various phenols, including proanthocyanidins and flavonoids, with antioxidant, anti-inflammatory, and antimutagenic properties, so that the many studies have focused on the protective role of nano grape seed extract as an anti-oxidative stress agent against chronic exposure to ultraviolet radiation which affects skin tissues healthy [12-14].The current study aimed to evaluate the protective and therapeutic effects of nanostructures made of PVA/CS, loaded with nano grape seed extract, on assessing the regeneration and repair level of skin tissue damaged due to chronic exposure to harmful ultraviolet rays.

Material and method

CS (2000-3500cps) very high molecular weight was purchased from Glentham LIFE SCIENCES Ltd and PVA (molecular weight 14000 g/mol) from THOMAS BAKER (India). Glacial acetic acid (99.7%) was purchased from LOBA CHEMIE PVT.LTD Meanwhile, local grape seeds were collected from local markets, washed, dried, and ground into powder. Subsequently, grape seed extract (GSE) was prepared and converted into nanoparticles using solvent evaporation and ultrasonication techniques

Preparation of Electrospun Nanofibers

10wt% aqueous solution of PVA was prepared and 2wt% CS solution was prepared by dissolving CS in acetic acid water (90% v/v). The PVA / CS solution was mixed with 7:3 volume ratios., followed by a 0.5% (w/v) concentration of dried grape seed extract was added to the polymeric matrix, with continuous stirring for 24 hours at 50 °C. to ensure homogeneous distribution of the prepared nanomaterials. Load the prepared solution into a 5 mL syringe to start the electrospinning process under controlled conditions: voltage 20 kV, flow rate 1 mL/h, and a distance from the needle to the collector of 10 cm. Collect the nanofibers on aluminum foil, then dry at room temperature and store in desiccators until later use.

Evaluation of Physicochemical Characterization

Fourier Transform Infrared Spectroscopy (FTIR): FTIR analysis was performed in the range of 4000–500 cm⁻¹ to confirm the presence of polymeric interactions and the coating of nanoparticles on GSE.

Scanning Electron Microscopy (SEM): The shapes of the fibers, the distribution of diameters, and the dispersion of nanoparticles were evaluated using a scanning electron microscope (SEM) at 10 kV after gold sputtering. All diameters of the nanofibers were measured using Image J software.

Experimental Animal Model

Adult male local rabbits, weighing between 2.5 and 3.5 kg, were acclimated to standard laboratory conditions with unrestricted access to food and water. Approval for the experimental procedures was obtained from the Institutional Animal Care and Use Committee at the College of Veterinary Medicine, University of Basrah. In the first group, the mid-ventral side of each rabbit was exposed to UVB radiation (312 nm, 1 MED/hour) for 30 consecutive days. The chemo-biological measurements and histological analyses evaluated the level of damage in skin tissue after 30 days of chronic ultraviolet exposure, as well as assessed the extent of repair and regeneration after treatment of the damaged skin areas in the group treated with PVA/CS/GS nanofiber dressings for an additional 7 consecutive days following exposure. The damaged skin areas were dressed with the nanofibers daily, and then the level of regeneration and repair was evaluated for comparison with the negative control animal group that was not exposed to ultraviolet radiation during this period.

Clinical Assessment

The clinical signs of the skin were identified visually through recorded redness, scaling, increased thickness, and texture changes in the exposed group of animals, which were documented through digital imaging. These were compared with the visual clinical evaluation of the morphological condition of the skin in the treated group of animals.

Histological Analysis

Skin tissue samples were collected from the experimental animal groups (treatment, processing, and negative control) and were immediately fixed in 10% neutral formalin solution. The samples were then processed through a graded series of ethyl alcohol and xylene, embedded in paraffin wax, and cut into 5-micrometer-thick sections using a rotary microtome. All our samples were stained using the conventional hematoxylin and eosin (H&E) stain. The histological condition was then assessed using a light microscope, and the tissue sections were photographed with a digital camera connected to the microscope at 10X and 40X magnification [15].

Antioxidant Activity Assays

ABTS Assay

Using the ABTS assay to evaluate the antioxidant capacity in both plasma and skin tissue. The method of ABTS radical decolorization was used, expressed as a percentage of inhibition (Re et al., 1999). An ABTS solution was prepared by reacting ABTS (7 mM) with potassium persulfate (2.45 mM), then incubating the mixture in the dark for 16 hours, followed by mixing the experimental samples with this solution. Then measure the absorbance at 734 nanometers..

DPPH Assay

Using the DPPH assay, the free radical activities in the plasma and skin tissues of the experimental animal groups were evaluated. Our results were expressed as a percentage of free radical inhibition according to the method described by Brand-Williams et al. (1995), by mixing samples from the experimental animals with a mixture of methanol and 0.1 mM DPPH solution, then incubating our samples in the dark for 30 minutes, and subsequently measuring the absorbance of the incubated solution at 517 nm. The antioxidant activity values were recorded as a percentage of DPPH radical inhibition in both the ultraviolet-exposed and treated animal groups, as well as in the negative control animal group.

Statistical Analysis

All our values for the experimental groups are presented as mean ± standard deviation (SD). A one-way analysis of variance (ANOVA) was used to statistically compare values, and statistically significant differences were identified at (p ≤ 0.05).

Results

FTIR Analysis of Electrospun PVA/CS/GSE Nanofibers

The results of our study confirmed a wide infrared absorption range in the PVA/CS fiber dressing, with an approximate range of 3288 cm⁻¹ due to the stretching vibrations of the stable hydrogen bonds (O–H and N–H) in both polyvinyl alcohol and chitosan fibers. As we observed from the results of this study, the stretching vibrations of aliphatic C–H bonds were recorded at 2920 cm⁻¹, and the weak mass concordance observed at 1729 cm⁻¹ was also recorded, along with the stretching vibrations of C=O bonds of the acetyl groups remaining in PVA. Additionally, our data showed that the shifts in the chitosan amide I and II bands at 1647 cm⁻¹ and 1538 cm⁻¹ confirmed the molecular interactions within the blend. While it suggests improved compatibility in the PVA/CS matrix was due to the merging of chitosan absorption bands at 1072 and 1012 cm⁻¹ into a single band at 1082 cm⁻¹.

The results of the current study confirmed that the FTIR spectra of the PVA/CS/GS nanofibers retained the characteristic absorption properties of the polymeric structure after the addition of grape seed extract (GSE), which is a clear evidence of the integrity of the structural form of this nanofiber dressing. Furthermore, due to the overlapping of the hydroxyl bond stretching vibrations of PVA fibers, chitosan, and the phenolic compounds

in the nano grape seed extract (GSE), there is the presence of a broader absorption band at 3311 cm⁻¹. The absorption band at 1617 cm⁻¹ confirmed that it is associated with aromatic carbonyl groups, while the band at 1734 cm⁻¹ indicated the presence of C=O stretching vibrations of carbonyl groups. The shifts and broadening of the peaks, along with the absence of significant new covalent bond formation, suggest that GSE was uniformly, effectively, and coherently encapsulated within the PVA/CS matrix due to numerous secondary molecular interactions and hydrogen bond.

Figure 1. Figure (1) shows the FTIR spectrum of PVA fibers and chitosan loaded with nano grape seed extract.

SEM Analysis of Electrospun PVA/CS/GSE Nanofibers

Figure 2.

Figure 3.

Figure 4.

Figure (2): SEM (PVA/CS/GS) image of Nano-fibers and diagrams of mean diameters of grape seed Nano-particles.

Morphological results

After one month of continuous UV irradiation for one hour per day, the skin showed morphological changes, including epidermal thickening, widespread redness, and severe peeling (Figure1). These clinical signs reflect prolonged UV-induced inflammation and impaired epidermal turnover associated with chronic oxidative damage. After a 7-day therapeutic application of the (PVA/CS/GSE) nanofiber scaffold, the UV-damaged skin showed significant improvement compared to untreated areas. In the treated regions, desquamation was reduced, the epidermal surface appeared smoother, hyperemia was less pronounced, and overall skin texture improved (Figure 2). Nanofiber-treated skin exhibited a morphology closer to normal, indicating accelerated epidermal barrier repair and attenuation of UV-induced inflammatory processes.

Figure 5. Figure (1): shows the flank skin epidermal thickness, hyperemia , desquamation with exposed UVA. Radiation for a month

Figure 6. Figure (2): shows the treated with nanofiber scaffold (CS+PVA+GS) after a month of exposed UVA irradiation. the roughness and desquamation observed in UV-irradiated skin .

Figure 7. Figure (3): Slide shows the roughness and desquamation observed in UV-irradiated skin disappeared following treatment with the nanofiber scaffold ( PVA +CS+GS) after a week.

Histological results

Our results demonstrate that 30 days of UV irradiation caused significant and permanent histological damage to rabbit skin. The epidermis exhibited severe hyperkeratosis, parakeratosis, hypogranulosis, and a loss of normal stratification. Additionally, there was a notable presence of apoptotic and necrotic keratinocytes. The findings also showed pronounced acantholysis, vacuolization of basal cells, and focal dysplastic transformation with nuclear atypia, indicating a significant disturbance in epidermal homeostasis and the onset of ultraviolet-induced genomic instability.

The dermis layer showed histological changes represented by subepidermal blisters, collagen degradation, necrosis, considerable dermal edema, chronic inflammation, and solar elastosis. Also, recorded signs of keratinocyte invasion and gland-like dysplastic epithelial growths embedded within fibrotic stroma as a possible progression of preneoplasia. Additionally, the hair follicles showed enlargement of the outer root sheath, hyperplasia, and localized necrosis Figures (4,5, and 6).

In contrast, the skin of treated rabbit groups with grape-seed-loaded PVA/CS nanofibers, for seven days, showed that the epidermis returned to its normal stratification by a well-organized keratinized epithelium, and basal cells free of atypia. While the dermis layer displayed a recovered connective tissue architecture, a normalized collagen arrangement, and the restoration of adnexal structures. An exception appears of minimal residual edema, accompanied by a marked reduction in inflammatory infiltration Figures(3,4,5, and 7).

Figure 8.

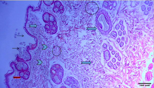
Figure( 4) Transverse section of the negative control group skin, showing the normal epidermis as a stratified squamous keratinized epithelium (black arrow). The dermis consists of dense, irregular connective tissue (arrowhead), which contains blood vessels (circle), hair follicles (thick arrow), and sebaceous glands (red thick arrow). This image illustrates the typical structural integrity ofhealthy skin (H and E stain - 100X).

Figure 9.

Figure (5) shows a transverse section of rabbit skin subjected to 30 days of UV radiation, followed by a 30-day post-exposure period without treatment. The tissue exhibits signs of marked Subepidermal bulla ( red arrows), dermal collagen degeneration, necrosis, and disorganization ( black circle), dermal edema (white arrow), parakeratosis (yellow arrow), hair follicle outer root sheath hypertrophy and hyperplasia (orange arrows), hair follicle outer root sheath necrosis (green arrow). Note the pathological alterations persist, with no obvious improvement. This sample was stained using E and H and observed at 400X magnification.

ABST assay

The ABTS assay demonstrated significant changes in antioxidant capacity in plasma and skin tissue after 30 days of UV exposure and therapy. In plasma, the UV-exposed untreated group had the lowest ABTS scavenging activity (8%, P < 0.05), indicating a significant reduction of systemic antioxidant defenses due to UV-induced oxidative stress. The combination of chitosan-grape seed nanoparticle treatment (PVA/CS/GS) significantly increased ABTS activity to 53.5% (P < 0.05), indicating a strong synergistic antioxidant impact The exposure group showed that the UV significantly lowered ABTS scavenging activity to 8.5% level. In contrast, the treatment group (PVA/CS/GS) showed a significantly increased ABTS scavenging activity, which recorded 66.5% level, significantly exceeding (P ≤ 0.05) both the UV and control groups (Figure 2).

Figure (7): Shows the ABTS levels in blood plasma as (%) of experimental different groups. (Mean ± SD)

Figure 10.

Figure ( 8 ): Shows the ABTS levels in blood plasma as (%) of experimental different groups. (Mean ± SD).

Figure 11.

DDPH Assay

Our results showed that, after 30 days of daily for one hour to UV exposure showed a significant decrease (p ≤ 0.05) in plasma antioxidant activity which represented by a reduction DPPH levels of 6.6%. In contrast, the treatment group (PVA/CS/GSE) was showed a increase of plasma antioxidant activity(p ≤ 0.05), which recorded decrease in DPPH free radical scavenging 41.6% level (Figure 3). In skin tissues, the UV group exhibited the lowest value of antioxidant activity which represented by DPPH radical free scavenging

activity at 3.6%. While appeared the synergistic treatment group (PVA/CS/GSE) improved significant (p ≤ 0.05) of DPPH free radical scavenging activity in the skin to 58.2% ( Figure 4).

Figure (9): Shows the DPPH levels in blood plasma as (%) of experimental different groups. (Mean ± SD).

Figure 12.

Figure (10): Shows the DPPH levels in blood plasma as (%) of experimental different groups. (Mean ± SD).

Figure 13.

Discussion:

FTIR analyses of the experimental nanofibers (PVA/CS/GSE) confirmed that they possess chemical bonds and effective molecular interactions. Many of the absorption bands observed in our results confirmed the presence of hydrogen bonds between the OH and NH groups in PVA and chitosan, clearly reflecting the integration of the polymer matrix [16]. Our findings showed that the biological characteristics of the grape seed extract put onto the nanomatrix were unaltered. The presence of phenolic and carboxylic chemical compounds in the fibers was indicated by the appearance of a series of bands at 1734 and 1617 cm⁻¹. Additionally, these results implied that no new covalent bonds were created. Overall, the findings supported research by[17-19]about the physical loading of the nano grape seeds, which entailed secondary hydrogen interactions. The results of the scanning electron microscope (SEM) showed a range of homogeneous and interconnected nanofibers with nanometric diameters within the limited nanoscale regions. These results, which reflected the efficiency of the electrospinning process and the effectiveness of the physical properties of the polymer solution used, were consistent with what [16]. In addition, a homogeneous distribution of nano grape seed extract particles within the polymer matrix was observed without any aggregation, clumping, deformation, or structural rupture, which confirms the efficiency of the encapsulation process and the uniformity of its components. These results are consistent with what was reported by [17]. Overall, our results confirmed the integrity of the fiber structure with some surface roughness, which consequently enhanced both the surface area and the continuous, controlled release of bioactive compounds, thereby supporting repair and regeneration processes in skin tissues damaged by harmful radiation. This also reflected the antioxidant properties and thus the preservation of cells. Our results were in agreement with what was reported by [18, 19]. Our results showed that long-term exposure to harmful ultraviolet radiation for 30 days caused damage to the layers of the epidermis and dermis. Our findings are consistent with what has been confirmed by many studies regarding the harmful effects of ultraviolet radiation and the damage it can cause due to increased oxidative stress, DNA damage, and the associated disruption of intra- and extracellular balance [2, 4]. Also the our results confirmed that chronic exposure to harmful ultraviolet radiation has caused an overproduction of keratinocytes, dead cells, cellular degradation and the observation of gaps in the basal layer. These signs was indicated to a loss of the cell repair mechanisms' efficiency and the activation of programmed cell death pathways, additionally, observation were abnormal cellular and nuclear changes, which are considered early indicators of genomic instability associated with the development of precancerous skin lesions, as confirmed by the studies of [20, 21]. Treatment of damaged skin using a nanofiber dressing loaded with grape seed extract for seven consecutive days caused an improvement in the repair and regeneration of skin tissues damaged by radiation. This may indicate a restoration of the biological balance between cell proliferation and differentiation. We believe that these results are attributed to the potent antioxidant properties of the compounds present in grape seed extract, most importantly proanthocyanidins, which have been confirmed by several studies to reduce oxidative stress and neutralize genetic mutations resulting from chronic ultraviolet radiation exposure [23, 24]. On the other hand, our results confirmed a decrease in the activity levels of both ABTS and DPPH in the plasma and skin tissue of rabbits after 30 days of chronic exposure to harmful ultraviolet radiation. This reflects a severe decline in antioxidant defense capabilities as an inevitable result of increased production of reactive oxygen species and oxidative stress caused by the action of harmful ultraviolet rays, as confirmed by the studies of [2, 24].The values of ABST and DPPH indicate lower percentages in the skin tissue compared to the blood plasma, possibly because the skin is the direct target of harmful radiation [25]. While the treatment with nanofibers loaded with grape seed extract had the ability to remove free radicals in skin tissue and plasma, as confirmed by our results through the observed ABTS and DPPH activity levels. This is attributed to the bioactive compounds, including proanthocyanidins in the grape seed extract, which enhanced the activity of antioxidant enzymes and reduced the level of oxidative damage caused by chronic exposure to harmful ultraviolet radiation [22, 23].According to [26, 27]the active therapeutic effect in skin tissue was due to the efficient and sustained delivery of active compounds within nanofiber dressings loaded with grape seed extract. It is also attributed that the structural organization in PVA/chitosan nanoparticles contributed to greater stabilization of polyphenolic compounds, continuous release, and regular penetration into skin tissues, which enhanced their effectiveness as a potent antioxidant .

References

U. Panich, “Ultraviolet Radiation-Induced Skin Aging,” International Journal of Molecular Sciences, vol. 17, no. 5, 2016, doi: 10.3390/ijms17050709.

M. Ichihashi et al., “UV-Induced Skin Damage,” Toxicology, vol. 189, no. 1–2, pp. 21–39, 2003, doi: 10.1016/S0300-483X(03)00150-1.

J. Cadet and T. Douki, “Formation of UV-Induced DNA Damage Contributing to Skin Cancer Development,” Photochemical and Photobiological Sciences, vol. 17, no. 12, pp. 1816–1841, 2018, doi: 10.1039/C7PP00434A.

L. Rittié and G. J. Fisher, “UV-Light-Induced Signal Cascades and Skin Aging,” Ageing Research Reviews, vol. 1, no. 4, pp. 705–720, 2002, doi: 10.1016/S1568-1637(02)00024-1.

A. Svobodová et al., “Natural Phenolics in the Prevention of UV-Induced Skin Damage,” Biomedical Papers, vol. 150, no. 1, pp. 25–38, 2006, doi: 10.5507/bp.2006.003.

F. Afaq and H. Mukhtar, “Photochemoprevention by Botanical Antioxidants,” Skin Pharmacology and Applied Skin Physiology, vol. 15, no. 5, pp. 297–306, 2002, doi: 10.1159/000065532.

J. Yang and L. Xu, “Electrospun Nanofiber Membranes for Wound Dressing,” Materials, vol. 16, no. 17, p. 6021, 2023, doi: 10.3390/ma16176021.

N. Bhardwaj and S. C. Kundu, “Electrospinning: A Fascinating Fiber Fabrication Technique,” Biotechnology Advances, vol. 28, no. 3, pp. 325–347, 2010, doi: 10.1016/j.biotechadv.2010.01.004.

S. Ramakrishna et al., “An Introduction to Electrospinning and Nanofibers,” Composites Science and Technology, vol. 65, no. 15–16, pp. 2389–2413, 2005, doi: 10.1016/j.compscitech.2005.05.020.

M. Kong et al., “Antimicrobial Properties of Chitosan and Mode of Action,” International Journal of Food Microbiology, vol. 144, no. 1, pp. 51–63, 2010, doi: 10.1016/j.ijfoodmicro.2010.09.012.

U. Leiter and C. Garbe, “Epidemiology of Melanoma and Nonmelanoma Skin Cancer,” Advances in Experimental Medicine and Biology, vol. 624, pp. 89–103, 2008, doi: 10.1007/978-0-387-77574-6_8.

D. Bagchi et al., “Free Radicals and Grape Seed Proanthocyanidin Extract: Importance in Human Health and Disease Prevention,” Free Radical Biology and Medicine, vol. 28, no. 10, pp. 1538–1545, 2000, doi: 10.1016/S0891-5849(00)00298-0.

S. K. Mantena and S. K. Katiyar, “Grape Seed Proanthocyanidins Inhibit UV-Induced Oxidative Stress,” Carcinogenesis, vol. 27, no. 8, pp. 1682–1691, 2006, doi: 10.1093/carcin/bgl043.

A. Mittal et al., “Dietary Feeding of Proanthocyanidins Prevents Photocarcinogenesis,” Carcinogenesis, vol. 25, no. 8, pp. 1379–1388, 2004, doi: 10.1093/carcin/bgh133.

E. Wehrle et al., “Protocol for Preparing FFPE Musculoskeletal Tissue Samples,” STAR Protocols, vol. 5, no. 2, p. 102986, 2024, doi: 10.1016/j.xpro.2024.102986.

X. Zhao et al., “Structural and Morphological Characterization of Electrospun Polymeric Nanofibers,” Journal of Applied Polymer Science, vol. 137, no. 12, p. 48516, 2020, doi: 10.1002/app.48516.

Z. Li et al., “Encapsulation of Bioactive Compounds into Electrospun Nanofibers,” Food Hydrocolloids, vol. 87, pp. 581–593, 2019, doi: 10.1016/j.foodhyd.2018.08.034.

T. J. Sill and H. A. von Recum, “Electrospinning: Applications in Drug Delivery,” Biomaterials, vol. 29, no. 13, pp. 1989–2006, 2008, doi: 10.1016/j.biomaterials.2008.01.011.

R. Jayakumar et al., “Biomaterials Based on Chitin and Chitosan in Wound Dressing Applications,” Biotechnology Advances, vol. 29, no. 3, pp. 322–337, 2011, doi: 10.1016/j.biotechadv.2011.01.005.

D. E. Brash, “UV Signature Mutations,” Photochemistry and Photobiology, vol. 91, no. 1, pp. 15–26, 2015, doi: 10.1111/php.12377.

F. El Ghissassi et al., “A Review of Human Carcinogens Part D Radiation,” The Lancet Oncology, vol. 10, no. 8, pp. 751–752, 2009, doi: 10.1016/S1470-2045(09)70213-X.

S. K. Katiyar, “Proanthocyanidins from Grape Seeds Inhibit UV Radiation-Induced Skin Tumor Development,” Molecular Nutrition and Food Research, vol. 60, no. 6, pp. 1371–1383, 2016, doi: 10.1002/mnfr.201500969.

F. Ahmed, “Nano-Encapsulation Approaches for Bioactive Compounds Stability and Bioavailability,” Journal of Nanobiotechnology, vol. 13, p. 22, 2015, doi: 10.1186/s12951-015-0072-1.

M. Valko et al., “Free Radicals and Antioxidants in Human Disease,” International Journal of Biochemistry and Cell Biology, vol. 39, no. 1, pp. 44–84, 2007, doi: 10.1016/j.biocel.2006.07.001.

D. Chouhan et al., “Emerging and Innovative Approaches for Wound Healing and Skin Regeneration,” Materials Science and Engineering C, vol. 95, pp. 138–155, 2019, doi: 10.1016/j.msec.2018.09.039.

M. Dash et al., “Chitosan A Versatile Semi Synthetic Polymer in Biomedical Applications,” Progress in Polymer Science, vol. 36, no. 8, pp. 981–1014, 2011, doi: 10.1016/j.progpolymsci.2011.02.001.

E.-R. Kenawy et al., “Processing of Polymer Nanofibers Through Electrospinning as Drug Delivery Systems,” Materials Chemistry and Physics, vol. 113, no. 1, pp. 296–302, 2009, doi: 10.1016/j.matchemphys.2008.07.040.